Radulomyces molaris

Полное научное имя: Radulomyces molaris (Chaillet ex Fr.) M.P. Christ.

Другие названия: Cerocorticium molare (Chaillet ex Fr.) Jülich & Stalpers; Радуломицес жерновой; Радуломицес зубчатый

Систематика: Fungi&Protozoa => Fungi => Basidiomycota => Agaricomycotina => Agaricomycetes => Agaricomycetidae => Agaricales => Radulomycetaceae => Radulomyces

Этимология: molāris, e - жерновой. От mola, ae f - 1) жёрнов; 2) ступка + -āris.

Плодовое тело: Однолетнее, распростёртое, с хорошо развитыми уплощёнными зубцами длиной 2 - 5 мм. Окраска бледно-водянисто-серая, часто с розоватыми, винно-коричневатыми оттенками. В свежем состоянии восковатое, с более или менее фенольным запахом.

Микроскопия:

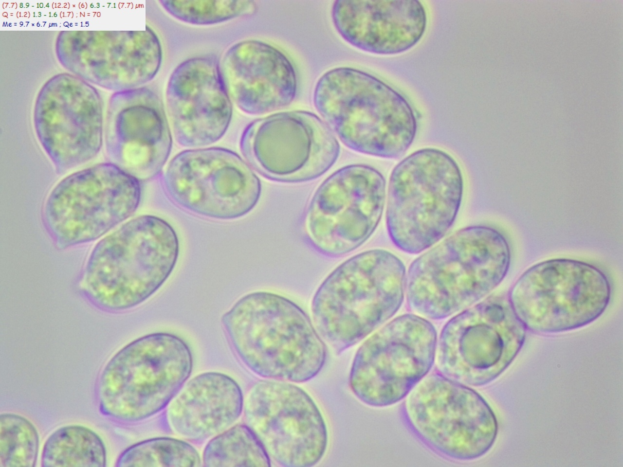
  • Споры 8 - 12 × 6 - 8 мкм, широко эллипсоидальные, слегка толстостенные, неамилоидные, внутри с каплями масла.
  • Цистиды и гифидии отсутствуют, пряжки присутствуют.

Распространение: Растёт круглый год на древесине лиственных пород, предпочитая прикрепленные или недавно упавшие, часто обескоренные ветви дуба.

Сходные виды: Другие представители рода Radulomyces имеют более гладкий гименофор, но похожие шиповатые кортициоиды есть в других родах (например, Basidioradulum radula или некоторые представители рода Xylodon). От них Radulomyces molaris хорошо отличается относительно крупными, широко эллипсоидальными спорами.

Ключевые признаки (внутри рода):

  • Гименофор с хорошо развитыми зубцами.

Использованные источники:

  1. Hansen L., Knudsen H. Nordic Macromycetes Vol. 3. Heterobasidioid, aphyllophoroid and gastromycetoid basidiomycetes. — Copenhagen: Nordsvamp, 1997. — P. 205.
  2. Læssøe, Thomas & Petersen, Jens. (2019). Fungi of temperate Europe 1-2. Princeton University Press, 1715 pp. — P. 1051.